Antioch Crowns and Bridges
Porcelain Crowns
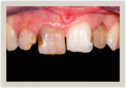
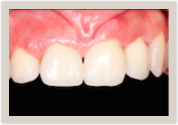
Applied Procedures: Porcelain Crowns
P19521_ss8252bs_t P19521_ss8252ys_t
Before Photo After Photo
Applied Procedures: Porcelain Crowns
P19521_ss8253bs_t P19521_ss8253ys_t
Before Photo After Photo
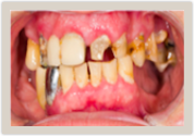
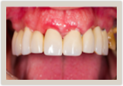
Applied Procedures: Porcelain Crowns, Dental Bridges
P19521_ss8254bs_t P19521_ss8254ys_t
Before Photo After Photo